During each of these phases, our brains show markedly different characteristics in brain architecture, according to the new findings.
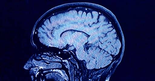
As we age, the human brain rewires itself. The process happens in distinct phases, or “epochs,” according to new research, as the structure of our neural networks changes and our brains reconfigure how we think and process information.
For the first time, scientists say they’ve identified four distinct turning points between those phases in an average brain: at ages 9, 32, 66 and 83. During each epoch between those years, our brains show markedly different characteristics in brain architecture, they say.
The findings, published Tuesday in the journal Nature Communications, suggest that human cognition does not simply increase with age until a peak, then decline. In fact, the phase from ages 9 to 32 is the only time in life when our neural networks are becoming increasingly efficient, according to the research.
During the adulthood phase, from 32 to 66, the average person’s brain architecture essentially stabilizes without major changes, at a time when researchers think people are generally plateauing in intelligence and personality.
New word to learn🧐
So as i now enter the 7th epoch… Skibidi?
Then, from 66 to age of 83, the brain tends toward “modularity,” where the neural network is divided into highly connected subnetworks with less central integration. At age 83, connectivity declines further.
Gee…
Maybe we shouldn’t keep letting geriatric people run our fucking country?
And maybe learn new (thought-provoking) things with age, so the areas keep connected.
Looks like someone is hitting their best presidential age soon.
I think one big problem of researches like this is you can’t really separate one’s age from socioeconomic environment one has lived through, which will have a big effect on one’s health, etc. Especially true if all the samples come from, say, developed Western countries.
There’s entire branches of research statistics dedicated to doing what you just dismissed as impossibl
These numbers are not literal. It’s not like you wake up at the age of 32 and the ink is finally dry. Some people become “adults” far earlier. Others are far more mentally resilient after their 70s, or more prone to dependency earlier on.
Environment, socio-economics (which dictate diet, health and mental state +++more), etc., and genetics all play roles. The end of the epoch or onset of another is likely to be cross-faded like a musical track.
deleted by creator
Never did I say impossible in anything I wrote, implied or otherwise. Learn to read.
I was confused by their response too, but now it looks like they just accidentally clicked the reply button on the wrong comment.
I kinda got that feeling later on as well after he deleted thru comment. It made no sense. Oh well.
I remember someone saying “middle age” is 35 to 65. Turns out that they were right.
I can assure you the body fails between 35 and 65…
Like, this is just about the brain. Middle age does not last until 65 unless you’re dividing a lifetime into three separate chunks and saying a 2 year old and a 33 year old are in the same group.
Which is fucking ridiculous, but boomers didn’t want to ever admit they were aging, so were left with entirely stupid concepts like “middle age” lasting until you retire.
That’s not based on anything scientific, just Boomer’s feelings.
I can assure you the body fails between 35 and 65…
I can assure you that’s normal middle age bullshit.
Source: Am middle aged and no longer spring back from injuries like I used to despite being in fairly good shape, eating well, and getting regular physical activity.
Take care of yourselves kids!
Hell I’m not even in that age group yet and I can already tell I’d die if I fell down the stairs. Meanwhile the kids in my neighborhood play chicken with busses
I can assure you the body fails between 35 and 65…
I got a major hit at 54… I got hit by andropause :-/
I don’t blame them . I’m gonna be middle aged until I can’t hide that I’m not that young anymore.
strange how this intuitively feels more accurate than adulthood at 18. we really need to consider people to be “minors” (or something) until around 25, i stg.
What if instead of treating people at an arbitrary age as ‘adults’ as if their age and maturity grants them freedom that absolves everyone else’s concern for their wellbeing, we treat everyone like people who are deserving of basic necessities and help, no matter their age and circumstances?
yes, that’d be ideal.
nah…lets keep abusing people.
Politicians: because of this new science, we need to set the minimum age for gender transition to 30. Same thing for porn access. The military recruitment age will be lowered to 14.
Fuck you brain I’m gonna keep learning and getting smarter forever RAAAAAH
You’ll just become a different type of smart.
I dunno about you guys, but I feel like I’m on epoch number 12 and I just wanna go back to sleep.
New maximum age to run for office just dropped: 66
Reading this wishing I did everything I could to learn and experience new things before the age of 32. I guess I’m in the plateau phase, but it was not until now that I could afford these priorities and not just focusing on work and survival. Oh well, c’est la vie. I’ll certainly keep trying.😁
None of this is written in stone. The study even noted the different numbers of subjects that seemed to correspond with each phase, and it wasn’t universal.
It seems to me that just being aware that there is a natural plateau stage, means that you could alter it, delay it, extend it, ignore it, defy it, etc. If you want to learn new stuff, learn it, don’t let some study tell you that you can’t.
I took up the guitar during the pandemic quarantine at 60 years old, and now I’ve progressed to a decent intermediate level, and I’m still growing.
So much this^^. The human brain is massively flexible, and always on the lookout for more.
Studies are a snapshot of a certain group of ppl. While helpful and informative, one study can’t and shouldn’t define you. Maybe help better understand yourself, at most:)
This is very interesting. And just feels true.
Agreed. When I look back at my own changes in life, as well as those of my parents and friends, these developments become a little more evident.
Finally, I can claim some people haven’t hit their first epoch yet
deleted by creator














